INTRODUCTION
This case report describes the successful treatment of a 20-year-old female university student with symptoms of radiculopathy in her left upper lateral extremity and reversed cervical lordosis. No red-flag symptoms were present, and she was subsequently diagnosed with Cervical Radiculopathy of the left C6 exiting nerve root based on physical and orthopedic examination. The numbness experienced by the patient was completely resolved by the 5th visit. Reassessment through radiographic examination at the 9th month of chiropractic treatment revealed that the reversed physiological cervical lordosis had also improved.
CASE REPORT
History
A 20-year-old woman sought care for intermittent neck pain and left lateral arm and forearm numbness. The onset of symptoms was non-specific and gradual, owing to the use of computers. She described neck pain as a feeling of tightness and dull ache for about 7 months, rated 6/10 on the numeric pain rating scale. She did not report any other infections, including COVID, within 1 year before the onset of symptoms. Her symptoms tended to increase with the prolonged use of computers or technology. The patient had attempted multiple treatments, including self-stretching and massage; however, the pain was not relieved. She had not previously received treatment from a healthcare professional.
Past Trauma, Medical, and Family History
The patient had an insignificant medical and family history. She was not previously taking any drugs, including pain medication, and did not recall any falls, sprains, straining, or a history of trauma.
Assessment
Upon initial consultation, she had a straight neck and a raised right shoulder compared to the left. The Range of motion (ROM) of the cervical spine was moderately restricted during extension to 50°, and left cervical rotation was limited to 40° with notable muscular guarding and a pain-free extension angle of 20°. The ROM during left lateral flexion was also mildly restricted, with a pain-free lateral flexion angle of 10°. Significant weakness was not present during the examination of the upper limb muscle strength; the patient did not report physical weaknesses. Joint play of the cervical facet joints revealed generalized restriction of motion of the lower cervical spine, especially prominent on the left. The paraspinal muscles around the neck and trapezius muscles were tightened on palpation, with tender points along the muscle bellies. The upper-limb deep tendon reflexes were normal on examination, and swelling was not present in this area.
Orthopedic examination showed mild discomfort during bilateral cervical extension-rotation, and the Spurling test was positive on the left side of the left lateral forearm and thumb. Examination to evaluate the upper limb tension did not show significant results, suggesting there are no severe nerve root compression at the time of presentation. However, cervical distraction tests provided mild relief to the patient’s symptoms.
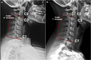
Myofascial trigger point palpation was performed for the cervical paraspinal, upper trapezius, rhomboid, suboccipital, and shoulder girdle muscles. Firm pressure on the cervical paraspinal and suboccipital trigger points produced a painful sensation over the back of the head. Trigger points in the trapezius, rhomboids, and shoulder girdle muscles caused only local discomfort. Sensory test results were within the normal limits for the upper extremities. Standing radiographs of the patient’s neck demonstrated reversed physiological cervical lordosis, with no noticeable bony degenerative changes (fig.1a).
Diagnosis and Differential Diagnosis
Based on the positive Wainner test results,1,2 the patient was given a working diagnosis of cervical radiculopathy of the left C6 exiting nerve root. Differential diagnoses of cervical radiculopathy can include thoracic outlet syndrome, peripheral entrapment neuropathy, and brachial plexopathy.
Management
Chiropractic spinal adjustments, mainly diversified technique, were prescribed to increase the biomechanical mobility of the cervical spine and to assist in reducing pressure on the cervical nerve roots. In addition, motorized flexion-distraction with extension force on the cervical spine was also performed to relieve nerve root pressure and correct the patient’s loss of cervical lordosis.
In the first stage of treatment, the goal was to restore cervical spine ROM and provide symptomatic relief to the patient. The frequency and duration of treatment were one or two weekly sessions for two months. The patient was instructed to stop exercising and avoid heavy lifting to prevent exertion and irritation of the surrounding structures.
The patient reported a significant improvement in numbness, which was entirely resolved by the 5th visit. Pain also decreased from 6/10 to 3/10 on the numeric pain rating scale. Her cervical left lateral flexion and rotation angles returned to normal. Subsequently, the patient’s sessions were reduced from weekly visits to once in two weeks for further improvement of cervical lordosis and providing maintenance care. In addition, scapular retraction exercise was prescribed to the patients at a frequency of 30 min per day, 3 times a week, to increase joint mobility and promote muscle activation.3
The patient’s complaints were resolved by the end of the 1st month of treatment (a total of 8 sessions) except for occasional muscle tightness. In addition, all cervical ROM returned to normal without the complaint of pain. Therefore, the scapular retraction exercise was modified by adding resistance bands to promote muscle strength. She was instructed to use a medium-strength resistance band to strengthen the scapular muscles every other day, with 1 end of the exercise band tied to the door handle and the other to the patient’s hand. She was advised to perform 2 sets of exercises with 10 repetitions per set.
The patient continued maintenance care after her complaints were resolved, with a frequency of once per week to once per month. Reassessment of patient symptoms, cervical ROM, neurological and orthopaedic findings, and radiographic reassessments was conducted in the 9th month after the initial visit. The cervical ROM and orthopedic examination were normal. Mild muscle tightness was occasionally noted after prolonged computer use; however, the patient reported no numbness in her arms or neck pain. There are no reduced muscle strength and deep tendon reflexes noted. Spurling tests, Upper limb tension tests, cervical distraction test and cervical rotation ROM test are all negative, suggesting the resolution of cervical nerve root irritation. A standing radiographic study was conducted for pre- and post-treatment comparisons and demonstrated an improvement in the physiological cervical lordosis (Figure 1a and 1b).
Discussion
Cervical lordosis is an integral part of the spinal column and is 1 of the 3 physiological curvatures present in the human spinal column on the sagittal plane. The lordotic angle of the cervical spine prevents excessive load and pressure on the vertebral bodies and endplates.4,5 A healthy cervical lordosis is essential for the efficiency of shock distribution, eye muscle control, mastication, and other processes.6 A reduced cervical lordosis can lead to excessive mechanical stress and load distribution in the cervical spine’s soft tissues, bony structures, and nervous tissues, thus inducing damage. In addition, this change can lead to other spinal conditions such as stiffness, pain, discomfort, early degeneration, nerve root irritation, and numbness.7
A reduced cervical lordosis refers to a cervical spine with a lordotic angle of less than 20° (the normal value of cervical spine lordosis is 20-35° measured from C2 to C7).8 In a study that included 369 people from various professions, researchers found that reduced cervical lordosis is the most common presentation that can cause neurological symptoms and neck pain.9 Atypical symptoms, such as visual changes and dizziness typically observed in spondylosis, are also purported to be associated with reduced cervical lordosis.10,11 Studies have shown that peripheral nerves in the upper and lower limbs accommodate limb movement by changing their length by 7 to 9 cm.12 The spinal cord and nerve roots undergo similar length extension when placed in positions of flexion and extension13; this temporarily elongates the nerve roots and ligaments, theoretically increasing the likelihood of nerve root irritation or compression as it passes through the intervertebral foramina. A study conducted on young patients with neck discomfort pointed out that the level of disc herniation and compression of the cervical spinal cord was inversely related to cervical lordosis and that the level of disc herniation and the height of the disc space can improve with the improvement of cervical lordosis.14 Moreover, recent reports and papers have also pointed out a potential link between changes in the cervical lordotic angle and the alleviation of cervical radiculopathy.15–18 However, it should be remembered that evidence revolving around the topic of whether cervical hypolordosis or reversed lordosis is statistically correlated to cervical-related complaints is inconclusive.15–20
Radiculopathy is a condition in which the existing nerve root of the spinal cord is impinged, causing sensory impairment, with or without accompanying motor changes, pain and, in severe cases, deep tendon reflexes of the affected spinal nerve level. If the condition affects existing nerve roots in the cervical spine, it is referred to as cervical radiculopathy. Some pain generators of radiculopathy include inflammation in the surrounding structures, compression of nervous tissues, and fibrosis.21 Although no accurate figures are published in the literature, the incidence of cervical radiculopathy is believed to be 83.2 to 179 per 100,000 people across different professions.22,23 Clinicians should pay extra attention to cervical radiculopathy as it can have acute and chronic effects on the patient’s wellbeing. Furthermore, despite being considered self-limiting, up to 56.9% of patients may still have mild, intermittent, or worsening symptoms 2 to 19 years after the initial onset of radiculopathy.24
Treatments for radiculopathy, such as surgery or steroid injection, are not recommended unless the symptoms persist for 4-6 weeks under conservative treatment or red-flag symptoms are present.25 Physical therapy, traction, soft collar, massage, nonsteroidal anti-inflammatory drugs, and muscle relaxants have been suggested to help with cervical radiculopathy.25,26 There is increasing evidence that chiropractic treatment can positively affect the management of cervical radiculopathy.14–16,21,27,28
Our report supports the use of chiropractic care to manage reduced cervical lordosis and radiculopathy. The improvement in cervical lordosis after chiropractic care was evidenced on radiographs (fig.1b) upon reassessment; other studies supported our results.29,30 Moreover, the elimination of upper extremity numbness in the patient by her fifth visit also highlighted the value of cooperative chiropractic treatment for cervical radiculopathy. The concurrent nature of both changes indicates a plausible biomechanical mechanism between increased nerve tension in the cervical spine and reduced lordosis; other studies have reported similar findings.15,16,30
Limitations
This study has several limitations. Owing to the nature of case reports, only an association between the two conditions can be hypothesized. Thus, it should not be treated as proof of causation. Furthermore, the results of this case cannot be generalized to the rest of the population. More rigorous and large-scale research is needed to confirm the association or causality of these findings.
Conclusion
The treatment of this patient demonstrated improvement in the cervical lordotic angle and cervical radiculopathy. Chiropractic care can play a role in the management of patients with one or both of these conditions. After chiropractic care, the associated recovery of the cervical radiculopathy and cervical lordotic angle suggest a plausible theoretical biomechanical mechanism and a potential connection between the two conditions.
Conflict of interests
The authors reported no potential conflict of interests
_pre-treatment_image_shows_ce.png)