In the online html version of the paper by Malaya et al (Malaya C, Stuber K, Du Rose A. A novel view of case reports in chiropractic clinical research: barriers and solutions for clinicians. J Contemporary Chiropr 2024;7:173-179) two graphic figures were inadvertently deleted from the online version, though they are present in the pdf version that can be downloaded.. Those figures appear immediately below.
The first figure should be placed just above the heading “Barriers to Creating Case Reports.”
The second missing graphic should be placed just above the heading “Proposing an Abbreviated Case Report Format.”
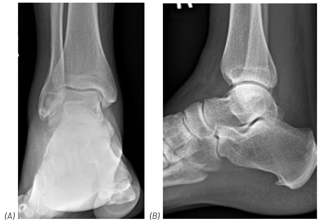
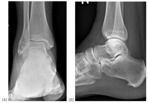
In a second paper, by LaCourt et al (LaCourt S, Sergent A, Richardson M, Carter S. Challenging the Ottawa Ankle Rules: a clinical case study. J Contemporary Chiropr 2024;7:146-149) the author inadvertently included incorrect figures. The correct figures appear in the pdf version that accompanies the html online version. The corrected figures appear below (the original were stretched out).
We regret these errors.




