Introduction
The most frequent diagnostic concern in an emergency room is suspicion of a fracture. Additionally, one of the most common orthopedic injuries reported is an injury to the ankle.1 Ankle injuries represent as much as 30% of all athletic injuries reported.1 Ankle injuries include fractures, ligament tears, sprains, or tendon injuries.2 Szymanski and Zdanowicz studied computed tomography (CT) and plain film X-ray in diagnosing malleolar fractures. They concluded that using X-rays only may overlook pathologies; therefore, the implementation of CT scans can assist in the accuracy of the diagnosis.
The ankle’s physical exam should include applying the Ottawa ankle rule criteria (OAR) to rule out fracture.2 The Ottawa ankle rules have a high sensitivity to rule out ankle fractures, which can decrease the necessity for unnecessary radiographs.2 The ankle rules follow a set of criteria including pain or tenderness on the bone of the posterior distal tibia or tip of medial malleolus, pain or tenderness on the bone of the posterior distal fibula or the tip of the lateral malleolus, or the individual is unable to bear weight immediately after the injury occurred or cannot take at least four steps when they get to the emergency room.2 According to the Ottawa ankle rules, a radiograph is warranted to clarify the diagnosis if a patient meets the criteria.2
This case report demonstrates the application of the Ottawa Ankle Rules and discusses the necessity of appropriate follow-up diagnostic imaging assessments to ultimately diagnose radiographically-occult ankle fracture.3
Case Report
A 43-year-old male sought care for right ankle pain following an eversion injury. He stated that the injury happened while completing lateral speed and agility exercises using a speed ladder. He stated that he had stepped on the ladder, and his foot slipped out, causing excessive eversion of the ankle. He noted that when the injury occurred, he felt and heard a “pop” emanate from the ankle. He felt immediate pain; however, he could walk with a noticeable limp to his house. He stated rested, elevated, and iced his ankle over the following 2 days before seeking care.
The patient presented with moderate to severe swelling with some noticeable bruising over the ankle and foot area. He reported the symptoms at a 2/10 during rest and a 5/10 during activity, on a visual analog scale (VAS). He described the symptoms as a constant dull feeling; however, the symptoms were sharp when standing or walking. Rest and ice helped decrease the symptoms while walking, and driving increased the symptoms. The symptoms affected his daily living activities. He typically exercised three to four days per week and had not been able to since the injury.
There was a decrease in all active and passive ranges of motion for the right ankle. Orthopedic tests demonstrated that the anterior drawer sign was negative bilaterally, and eversion and inversion stress tests were positive on the right for ipsilateral ankle pain, and negative on the left. Thompson’s test was negative bilaterally. The Tinel tap test produced localized pain on the right. The resisted range of motion demonstrated decreased strength while performing dorsiflexion and eversion compared to the left. All other resisted ranges of motion were normal. Walking and bearing weight on the affected foot was difficult but was without pain. Due to the nature of the trauma, X-rays were ordered to rule out fracture.
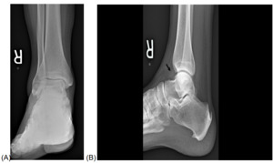
An AP, lateral, and oblique image was performed on the right ankle 2 days after the injury (Figure 1A, 1B). No fracture was evident; however, there was prominent soft tissue swelling, most prominent overlying the lateral malleolus, with evidence of mortise-joint effusion. One week later, a repeat radiographic examination was performed to exclude an occult fracture. The patient’s pain persisted, and 1 week later, images were repeated (Figure 2A, 2B). New radiographs demonstrated mildly reduced swelling of the ankle and mild mortise-joint effusion. MRI was recommended to help assess for possible internal joint derangement.
After approximately 15 days of mild improvement, an MRI of the right ankle was performed without contrast (Figure 3A-D). The MRI impressions reported a fracture in the posterolateral tibial plateau with adjacent marrow edema, mild tibiotalar and talocalcaneal joint effusion, plantar fasciitis, grade-III/IV chondromalacia calcaneocuboid joint, sprain anterior tibiofibular ligament, tenosynovitis tibialis posterior and peroneal tendons, and edema in the subcutaneous area around the ankle joint. A referral to an orthopedic surgeon was made for further consultation.
The orthopedic surgeon consulted with the patient approximately 35 days after the initial injury date. The consultation resulted in the recommendation to continue with activities to tolerance. The orthopedic surgeon reported that the ankle joint was stable; therefore, there was no recommendation to wear a brace or boot to stabilize it. The healing time would take approximately 90 days, and the patient was cleared to begin rehabilitative exercises.
Discussion
The diagnosis of ankle fractures presents a significant clinical challenge due to the complex anatomy of the ankle and the variety of possible injury mechanisms. The Ottawa ankle rules are well-respected screening criteria for excluding ankle fractures in the setting of acute injury and have a 97.5% sensitivity for detecting fracture. However, they are not infallible and careful clinical consideration of the patient is still recommended even if the Ottawa ankle rules do not exclude fracture.2 While traditional X-ray imaging remains a cornerstone in the initial assessment of suspected fractures, its limitations in detecting certain types of fractures, particularly incomplete fractures or those involving soft tissue injuries or small bone fragments, necessitate further examination through more sophisticated imaging modalities.4,5
Recent literature highlights the critical role of computed tomography (CT) and magnetic resonance imaging (MRI) in enhancing diagnostic accuracy for ankle injuries. CT scans, known for their superior resolution in depicting bone details, are invaluable in identifying complex fractures and assessing their extent, which is crucial for surgical planning.4 Moreover, MRI provides unparalleled detail of soft tissue structures, including ligaments, tendons, and the integrity of the articular cartilage, facilitating a comprehensive understanding of the injury.1
The study by Szymanski and Zdanowicz underscores the potential for X-rays to overlook pathologies that could be critical in determining the appropriate course of treatment. This observation is corroborated by the findings of Prado et al., who suggest that early and accurate diagnosis through appropriate imaging can significantly influence the rehabilitation approach and outcomes for patients with osteochondral fractures.5
Additionally, the Ottawa ankle rules serve as a valuable clinical tool to guide the decision-making process regarding the necessity of radiographs. However, as Gomes et al. point out, the high sensitivity of these rules in ruling out fractures should not preclude the consideration of further imaging in cases where clinical suspicion persists, emphasizing the importance of clinical judgment in conjunction with guideline adherence.3
The evolving understanding of ankle fracture diagnosis underscores the necessity of a multifaceted approach to imaging, considering the specific clinical scenario and individual patient factors. As evidenced by recent research, the integration of CT and MRI can significantly enhance diagnostic accuracy, providing a more complete picture of the injury and informing a tailored treatment strategy.6,7
Considering these advancements, future research should focus on developing integrated diagnostic algorithms that optimize the use of various advanced imaging modalities. Such algorithms could help in distinguishing between cases that require immediate advanced imaging from those that can be accurately assessed through conventional methods, ultimately improving patient outcomes and resource utilization in clinical practice.
Conclusion
In conclusion, this case provides an example of a fracture not indicated by the OAR and emphasizes the role of clinical follow-up and advanced imaging modalities in accurately diagnosing ankle injuries, mainly when initial assessments and radiographs are inconclusive. It also illustrates the importance of a multidisciplinary approach in managing such injuries, where the expertise of radiologists and orthopedic surgeons contributes to a comprehensive understanding and treatment of the injury. Further research into optimizing diagnostic pathways for ankle injuries is warranted to enhance outcomes for patients with these common yet complex conditions.
_and_lateral_(b)_ankle_radiographs_3_days_after_injury.png)
_and_lateral_(b)_ankle_radiographs_10_days_after_injury.png)
